
Cirugía de Pectus
Tipos de pectus
Tórax excavado: existe una depresión central anterior de la pared torácica que en casos severos puede estar acompañado de problemas respiratorios y cardiacos aunque en su mayoría la resolución quirúrgica es para un adecuado desarrollo psicosocial del quien la padece.
Técnicas Quirúrgicas
Técnica Ravitch modificada, se extraen los cartílagos costales defectuosos, los cuales crecerán nuevamente pero en posición anatómica.
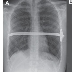
Técnica de Nuss, se usa una barra de metal en forma curvada para que pueda corregir el defecto, el material se retira entre los 18 a 24 meses de la colocación.
Ambas técnicas han demostrado efectividad en la resolución de este problema, por lo que se evalúa cada caso para establecer que técnica es la mas adecuada.
Momento Quirúrgico
Internacionalmente se establece que la mejor edad para las cirugías de Pectus son entre los 12 a 18 años de edad, para mayores de 18 años se realiza una evaluación para ver si aun tiene opción de tratamiento quirúrgico.
Galería




